Fractures de stress des côtes à l'exercice

Nous nous référons aux fractures de stress des côtes lorsqu’une ou plusieurs côtes sont cassées par une force répétitive qui leur est appliquée à la suite de l’exercice. Pour que la situation se produise, il est essentiel que cette force soit inférieure à la capacité de résistance de l’os.
Cela signifie que le tissu est détruit non pas par un seul traumatisme direct, mais par la répétition de petits traumatismes qui affectent constamment le même endroit. À un moment donné, l’élasticité des cellules est pénétrée et une fracture se produit.
Pourquoi les fractures de stress des côtes se produisent-elles ?
Le mécanisme par lequel les côtes se fracturent lorsqu’elles sont sollicitées dans le sport est la fatigue. Ce terme est difficile à décrire. En effet, il ne signifie pas la fatigue au sens large où nous l’utilisons lorsque nous sommes épuisés.
La fatigue des tissus osseux est liée à la répétition avec laquelle ils doivent supporter les charges. Prenons l’exemple d’un kayakiste qui s’entraîne avec le même mouvement de pagaie tous les jours. Dans ce cas, les côtes sont continuellement pressées par les muscles thoraciques, jusqu’à ce qu’elles ne puissent plus supporter l’insistance de la force qui leur est appliquée.
Dans des conditions normales, un petit traumatisme peut être rapidement réparé par les cellules. Cependant, dans les fractures de stress des côtes, il n’y a pas de temps pour la guérison. Ainsi, à chaque fois la fissure pénètre plus profondément dans l’os. Au point de rupture, la blessure devient évidente.
Selon une étude publiée par l’International Journal of Podiatric Sciences, la forme de propagation de la rupture est différente de celle des fractures courantes dues à un seul traumatisme. Les côtes commencent à se casser perpendiculairement, mais prennent rapidement une direction parallèle au bord de l’os.

Symptômes des fractures des côtes de stress
La douleur est le signe le plus caractéristique d’une côte cassée. Dans le cas des fractures causées par une fatigue chronique, l’inconfort peut se développer lentement, insidieusement, sans être aigu.
Cette douleur augmente lorsque des mouvements respiratoires profonds se produisent. Lors de l’entrée ou de l’expulsion de l’air, mais surtout à l’inspiration, l’axe costal devient inconfortable et se manifeste par une gêne. En général, cette douleur est localisée et n’irradie pas vers d’autres régions, mais s’il y a un conflit nerveux, elle peut atteindre le sternum ou le dos.
L’inflammation est variable ; certains athlètes remarquent une bosse dans la zone de la fracture, tandis que d’autres ne ressentent que de la douleur. En cas d’accumulation de liquide, il est également possible que la peau change de couleur. Il est même possible qu’un hématome se forme sur la côte endommagée.
Si la fracture de stress des côtes a conduit à une déchirure musculaire ou vice versa, l’hématome est toujours présent, de taille variable. Le cas du boxeur n’est pas le même que celui d’une personne qui pratique l’aviron. Ces deux cas sont encore différents des situations dérivées de mauvaises techniques en salle de musculation.
Facteurs de risque de cette pathologie
Il existe différentes situations et facteurs de risque qui favorisent le développement de fractures de stress. Selon une publication dans le Journal de l’Association argentine de traumatologie sportive la blessure est presque toujours classée comme de bas grade, c’est-à-dire avec peu de probabilité d’évoluer vers des formes graves. De cette façon, elle pourrait se résoudre avec du repos.
Dans tous les cas, en connaissant ces facteurs, il est possible de penser à une prévention adéquate. Les cadres de préventions les plus pertinents sont les suivants :
- Mauvaise posture et mauvaise technique : il existe des sports qui ont des méthodologies spécifiques et éprouvées pour éviter les blessures. Si l’athlète ne respecte pas ces mouvements et modalités, il peut être exposé à des blessures.
- Conditions de faible densité osseuse : les personnes souffrant d’ostéopénie ou d’ostéoporose ont une densité osseuse plus faible. Le calcium et le réseau tissulaire sont ainsi déficients. Dans ces situations, il est logique que la contrainte à laquelle ils sont soumis soit susceptible de fracturer leurs côtes.
- Surmenage dû à la répétition : si l’athlète répète le même entraînement à chaque fois sans régulation de poids et de force, il est possible qu’il surcharge des zones du corps. Pour cela, il existe des modèles progressifs d’activité physique et les connaissances des entraîneurs pour guider les préparatifs.

Que faire si vous souffrez d’une fracture de stress des côtes ?
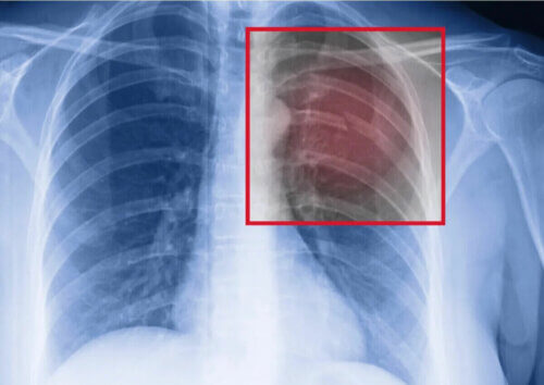
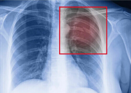
Si vous êtes un athlète et que vous souffrez d’une fracture de stress aux côtes, la première chose à faire est de consulter un médecin. Vous aurez une radiographie pulmonaire pour confirmer la blessure et son étendue sera évaluée.
L’une des premières recommandations est de réduire ou de suspendre l’activité physique afin que la côte puisse guérir. Des analgésiques et des anti-inflammatoires peuvent également être prescrits pour la gestion des symptômes. L’utilisation d’un bandage sera définie en fonction de la gravité et peut aider à la stabilisation.
Enfin, il reste à prévoir une rééducation qui inclut de la physiothérapie – très importante selon la littérature scientifique en la matière, des exercices pour renforcer les muscles thoraciques pour éviter les rechutes et un retour au sport. La chirurgie est réservée aux cas extrêmement graves, dans lesquels l’axe des côtes est perdu en raison du déplacement.
Nous nous référons aux fractures de stress des côtes lorsqu’une ou plusieurs côtes sont cassées par une force répétitive qui leur est appliquée à la suite de l’exercice. Pour que la situation se produise, il est essentiel que cette force soit inférieure à la capacité de résistance de l’os.
Cela signifie que le tissu est détruit non pas par un seul traumatisme direct, mais par la répétition de petits traumatismes qui affectent constamment le même endroit. À un moment donné, l’élasticité des cellules est pénétrée et une fracture se produit.
Pourquoi les fractures de stress des côtes se produisent-elles ?
Le mécanisme par lequel les côtes se fracturent lorsqu’elles sont sollicitées dans le sport est la fatigue. Ce terme est difficile à décrire. En effet, il ne signifie pas la fatigue au sens large où nous l’utilisons lorsque nous sommes épuisés.
La fatigue des tissus osseux est liée à la répétition avec laquelle ils doivent supporter les charges. Prenons l’exemple d’un kayakiste qui s’entraîne avec le même mouvement de pagaie tous les jours. Dans ce cas, les côtes sont continuellement pressées par les muscles thoraciques, jusqu’à ce qu’elles ne puissent plus supporter l’insistance de la force qui leur est appliquée.
Dans des conditions normales, un petit traumatisme peut être rapidement réparé par les cellules. Cependant, dans les fractures de stress des côtes, il n’y a pas de temps pour la guérison. Ainsi, à chaque fois la fissure pénètre plus profondément dans l’os. Au point de rupture, la blessure devient évidente.
Selon une étude publiée par l’International Journal of Podiatric Sciences, la forme de propagation de la rupture est différente de celle des fractures courantes dues à un seul traumatisme. Les côtes commencent à se casser perpendiculairement, mais prennent rapidement une direction parallèle au bord de l’os.

Symptômes des fractures des côtes de stress
La douleur est le signe le plus caractéristique d’une côte cassée. Dans le cas des fractures causées par une fatigue chronique, l’inconfort peut se développer lentement, insidieusement, sans être aigu.
Cette douleur augmente lorsque des mouvements respiratoires profonds se produisent. Lors de l’entrée ou de l’expulsion de l’air, mais surtout à l’inspiration, l’axe costal devient inconfortable et se manifeste par une gêne. En général, cette douleur est localisée et n’irradie pas vers d’autres régions, mais s’il y a un conflit nerveux, elle peut atteindre le sternum ou le dos.
L’inflammation est variable ; certains athlètes remarquent une bosse dans la zone de la fracture, tandis que d’autres ne ressentent que de la douleur. En cas d’accumulation de liquide, il est également possible que la peau change de couleur. Il est même possible qu’un hématome se forme sur la côte endommagée.
Si la fracture de stress des côtes a conduit à une déchirure musculaire ou vice versa, l’hématome est toujours présent, de taille variable. Le cas du boxeur n’est pas le même que celui d’une personne qui pratique l’aviron. Ces deux cas sont encore différents des situations dérivées de mauvaises techniques en salle de musculation.
Facteurs de risque de cette pathologie
Il existe différentes situations et facteurs de risque qui favorisent le développement de fractures de stress. Selon une publication dans le Journal de l’Association argentine de traumatologie sportive la blessure est presque toujours classée comme de bas grade, c’est-à-dire avec peu de probabilité d’évoluer vers des formes graves. De cette façon, elle pourrait se résoudre avec du repos.
Dans tous les cas, en connaissant ces facteurs, il est possible de penser à une prévention adéquate. Les cadres de préventions les plus pertinents sont les suivants :
- Mauvaise posture et mauvaise technique : il existe des sports qui ont des méthodologies spécifiques et éprouvées pour éviter les blessures. Si l’athlète ne respecte pas ces mouvements et modalités, il peut être exposé à des blessures.
- Conditions de faible densité osseuse : les personnes souffrant d’ostéopénie ou d’ostéoporose ont une densité osseuse plus faible. Le calcium et le réseau tissulaire sont ainsi déficients. Dans ces situations, il est logique que la contrainte à laquelle ils sont soumis soit susceptible de fracturer leurs côtes.
- Surmenage dû à la répétition : si l’athlète répète le même entraînement à chaque fois sans régulation de poids et de force, il est possible qu’il surcharge des zones du corps. Pour cela, il existe des modèles progressifs d’activité physique et les connaissances des entraîneurs pour guider les préparatifs.

Que faire si vous souffrez d’une fracture de stress des côtes ?
Si vous êtes un athlète et que vous souffrez d’une fracture de stress aux côtes, la première chose à faire est de consulter un médecin. Vous aurez une radiographie pulmonaire pour confirmer la blessure et son étendue sera évaluée.
L’une des premières recommandations est de réduire ou de suspendre l’activité physique afin que la côte puisse guérir. Des analgésiques et des anti-inflammatoires peuvent également être prescrits pour la gestion des symptômes. L’utilisation d’un bandage sera définie en fonction de la gravité et peut aider à la stabilisation.
Enfin, il reste à prévoir une rééducation qui inclut de la physiothérapie – très importante selon la littérature scientifique en la matière, des exercices pour renforcer les muscles thoraciques pour éviter les rechutes et un retour au sport. La chirurgie est réservée aux cas extrêmement graves, dans lesquels l’axe des côtes est perdu en raison du déplacement.
Toutes les sources citées ont été examinées en profondeur par notre équipe pour garantir leur qualité, leur fiabilité, leur actualité et leur validité. La bibliographie de cet article a été considérée comme fiable et précise sur le plan académique ou scientifique
- Lora Veramendi, Maylin. “Tratamiento fisioterapéutico en fractura de esternón y costillas.” (2018).
- Torrengo, Federico, Vicente Paús, and Jorge Cédola. “Fracturas por estrés en deportistas.” Rev la Asoc argentina Traumatol del Deport (2010): 18-23.
- del Arco, Jessica Grande. “Fracturas de estrés en atletas.” Revista Internacional de Ciencias Podológicas 12.2 (2018): 63.
- Puyol, Sonia Galicia, et al. “Tipos de fracturas costales encontradas en traumatismos costales”. Seram (2018).
Ce texte est fourni à des fins d'information uniquement et ne remplace pas la consultation d'un professionnel. En cas de doute, consultez votre spécialiste.







